호흡기검사 및 방법

호흡기 검사 관련 안내입니다.

·
호흡기클리닉
·
호흡기증상 및 검사
호흡기 검사
  • 01

    호기 산화질소(Fractional concentration of exhaled nitric oxide, FeNO) 검사

    폐와 기관지 등의 호흡기관에서 천식과 같은 type 2 염증은 산화질소 생성(NO)을 증가시키게 됩니다.
    그러므로 호기 중의 산화질소의 양을 산화질소의 분율(fractional exhaled NO, FeNO)을 통해 평가하여 호흡기질환의 진단에 사용하게 됩니다.
    img
    호산구성 천식인 경우에 객담ㆍ혈액 호산구 분율과 호기 산화질소(Fractional concentration of exhaled nitric oxide, FeNO) 값이 증가하며,
    호기 산화질소는 호산구성 기관지염, 아토피 등에서 증가할 수 있고, 호산구성 폐렴 등에서도 증가할 수 있습니다.
    그리고 이는 흡입 스테로이드에 대한 단기 반응률을 예측할 수 있는 근거가 될 수 있습니다.
  • img

    검사방법

    1. 똑바로 앉은 자세에서
    2. 우선 최대한 숨을 내쉰 후 2~3초에 걸쳐 최대한 총폐용량(TLC)까지 공기를 들이마시고
    3. 멈춤 없이 바로 숨을 내쉬기 시작하며
    4. 호기 유속을 일정하게 유지하여 50 mL/sec 의 일정한 속도로 10초간 내뱉으면서 측정합니다.
       (어려운 경우, 12세 이상은 6초 이상, 12세 미만은 4초 이상).
  • 결과값 해석
    FENO값 알레르기 기도 염증
    >50 ppb (성인) 높을 가능성
    >35 ppb (소아) 높을 가능성
    25-50 ppb (성인) 가능
    25-35 ppb (소아) 가능
    <25 ppb (성인) 없을 가능성
    <20 ppb (소아) 없을 가능성
  • 02

    객담유도 (Induced sputum)검사

    천식, 만성폐쇄성폐질환, 호산구성 기관지염, 간질성폐질환 등에서 기도의 염증 세포의 분포를 확인하여 진단 및 치료에 이용되며,
    폐암에서 악성 세포 확인을 위하여, 그리고 폐결핵이나 폐렴 등 감염성 폐질환에서 원인균을 명확히 확인하는 데 도움이 됩니다.
    특히 천식에 있어서 객담 내 호산구 분율은 혈액 내 호산구보다 확진에 있어 더 민감도와 특이도가 높기 때문에 진단적 가치가 높으며,
    검사법은 적절한 객담의 분비를 유도하기 위해 등장성 혹은 고장성 용액을 흡입하게 되며, 기침을 하여 객담을 효과적으로 뱉어야 합니다.
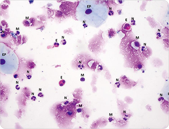
    img

    사진 : 객담세포 검사결과(200배 확대): M: 대식세포, N: 호중구, E:호산구, EP: 상피세포

    객담의 분비를 유도하여 객담 내의 혈구 세포의 조성을 관찰하여 임상 진단에 도움을 받습니다.
    만성 기침 환자에서 유도 객담 내 호산구 증가의 경우 호산구성 기관지염을, 총 세포 수 증가 및 호중구 증가의 경우 감염성 기관지염, 기관지 확장증, 낭성 섬유증을, 그리고 총 세포 수가 정상 범위이면서 호중구 분율이 증가하는 경우 위식도 역류증이나 습관성 기침을 의심할 수 있습니다.
    그 외 객담 유도 검사는 효과적으로 배출된 객담을 통해, 분자 미생물학, 바이러스나 세균 동정, polymerase chain reaction(PCR) 등의 검사에 사용될 수 있습니다.

    *음압 객담 채담 부스: 호흡기 감염성 환자들의 객담을 안전하게 채취하고, 원내 비말 감염을 막기 위하여 검사자 격리 및 음압 시설을 유지하기 위해서, 새숨길내과에서는 특별 제작된 음압 채담 부스를 구비하고 있습니다.
  • 03

    폐기능검사(Pulmonary Function Test, PFT)

    사람이 가진 폐의 생리 기능을 정상인과 비교하는데 검사 방법으로, 성별, 키, 인종, 나이에 따라서 보정하여 비교하게 됩니다.
    폐기능 검사는 폐활량 검사(spirometry), 폐확산능 검사(diffusion capacity), 폐용적 측정(lung volume)을 합니다.
  • 04

    폐활량 측정법(spirometry)

    노력성 호기(forced expiration) 동안 시간에 따라 불어낸 용적을 측정하는 검사법으로 가장 쉽고, 바른 자세에서 코 마개를 착용한 후 마우스피스를 새지 않게 물고, 숨을 빠르게 최대한 들이쉰 후 약 1초간 숨을 멈춘 후 더 이상 공기가 나오지 않을 때까지 세고 빠르게 최대한 숨을 내쉬면 됩니다.
    이렇게 유효한 유량-용량 곡선을 최소 3회 이상 얻어야 하며, 6초 이상 불어내야 검사가 적합하며, 검사 간 수치 차이가 적어야 적합한 검사라고 할 수 있습니다.
    본 검사로 얻을 수 있는 폐활량의 지표들은 다음과 같습니다.
    노력성 폐활량(FVC)
      최대 노력성 호기에서 얻어진 폐활량으로 감소 값은 폐용적이 감소한 제한성환기장애를 의미하며,
      간질성 폐질환, 흉막질환, 신경 및 근육질환 등에서 감소하게 됩니다.
    일초간 노력성 호기량
    (forced expiratory volume
    at one second, FEV1)
      최대 노력성 호기를 시작한 후 1초간 내쉰 공기량으로, 폐쇄성폐질환의 중증도 및 예후와 상관관계가 높습니다.
    FEV1/FVC
      기도폐쇄를 나타내는 지표로 이용되며, 나이가 들면서 점차 감소하며, 천식, 만성폐쇄성폐질환 등의 폐쇄성 폐질환에서는 감소하게 됩니다.
    노력성 호기중간유량
    (Forced Expiratory
    Flow : FEF25-75%)
      폐활량의 초기와 말기 25%를 제외한 중간 50% 기량을 소요된 시간으로 나눈 값으로. 말초 소기도 질환의 조기진단에 예민한 지표입니다.
    기도폐쇄의 가역성 검사
    (reversibility of
    airway obstruction)
      폐쇄성 환기장애의 경우 그 가역성 여부를 보기 위해 기관지확장제를 흡입 후 폐활량측정법을 다시 시행하여
      FEV1이 12% 및 200mL 이상 증가하면 기관지 가역성이 있다고 봅니다.
    유량-기량곡선
    (flow-volume curve)
      폐활량의 지표들 외에 폐활량검사결과를 도식화한 유량기량곡선은
      기도폐쇄(airway obstruction)의 위치를 추정하는 등 환기장애의 종류를 판정하는데 도움을 줍니다.
    img

    그림 : 폐활량검사기(Spirometry) 및 결과

    img

    그림 : 폐활량검사-폐쇄성환기장애의 유량곡선

    img

    그림 : 기류-유량곡선

  • 05

    기관지유발검사(Bronchial Provocation Test)

    기도의 과민성을 측정하는 검사법이며, 흡입한 기관지 수축제(메타콜린, 프로보콜린 등)에 대한 반응이 정상인에 비해서 과도한가를 판정하는 검사법으로, 기관지 수축제를 흡입하며 폐활량 검사를 시행하고 FEV1의 감소 정도를 평가합니다. 다른 질환에서도 양성 반응을 보일 수 있으나, 만성 기침의 감별 진단에서 천식을 진단하는 데 유용한 검사 방법입니다.
    img

    그림 : 기관지유발시험검사 양성의 예