호흡기 질환

호흡기 질환 관련 안내 입니다.

·
호흡기클리닉
·
호흡기질환
  • 만성기침
  • 알레르기천식, 만성폐쇄성 폐질환
  • 기관지확장증
  • 결핵, 비결핵항산균폐질환
  • 폐렴 및 감염성 폐질환(코로나, 인플루엔자, 신종전염병)
  • 간질성 폐질환
결핵 및 비결핵성항상균폐질환
  • 01

    결핵은 무엇인가요?

    활동성 폐결핵은 인체 내로 감염된 결핵균주(Mycobacterium Tuberculosis)가 증식을 하여 결핵균의 양이 증가하여, 흉부 영상 검사에서 이상 소견을 보이고, 임상 증상을 초래하며 객담에서 항산균을 배출하는 감염성 폐질환으로, 결핵균의 인체 내 다양한 장기에 침범하는 경우 중 폐를 침범한 경우입니다.
    반면 잠복 결핵은 인체 내 결핵균의 수가 적고 흉부 영상 검사상 정상 소견이며, 임상 증상도 없어, 타인에 대한 전염성이 없는 상태를 말합니다.
    폐결핵에 걸리면 만성 기침, 객담, 각혈 등 일반 호흡기 증상과 전신 쇠약, 체중 감소, 발열, 식은땀 등의 전신 증상이 올 수 있으며, 결핵 발병의 위험도가 높은 집단인 청년기, 집단 기숙 생활자(기숙사, 공동주택, 수용소 등), 노인층, 당뇨병, 만성 간ㆍ신장 질환자에서는 특히 유의해야 하며, 신체 검사나 건강 진단 등 우연히 검사한 흉부 X선 검사에서 결핵이 의심되는 경우는 활동성 결핵 여부에 대한 판단이 중요합니다.
    02

    비결핵성항상균(NonTuberculous Mycobacterium, NTM)폐질환이란 무엇인가요?

    비결핵항산균은 자연수와 토양 등 자연환경에 널리 분포하며, 수도관, 화분등 인공환경에 편재해있는 균으로 인체의 폐질환감염을 초래할수 있습니다. 비결핵항산균 폐질환은 흔히 임상 현장에서 결핵항산균 폐질환(폐결핵)과 혼동을 일으킬 수 있는데, 이는 결핵항산균(결핵균)과 비결핵항산균이 모두 마이코박테리아(Mycobacteria)로 분류되는 막대기 모양의 세균 집단에 속하기 때문입니다. 활동성 폐결핵은 타인에게 전염을 초래할 수 있고 치료를 바로 시작하여야 하나, 비결핵성항산균 폐질환은 전염성이 없으며, 치료 여부는 원인균, 임상적 상태, 질병의 진행 상태에 따라 결정되게 됩니다. (*이승헌 원장 네이버 블로그: https://blog.naver.com/saesumgil 참고)
    03

    활동성 폐결핵과 비결핵성항산균 폐질환의 진단은 어떻게 하는지요?

    환자의 임상 증상 문진과 진찰 후, 흉부 X선 검사 및 흉부 CT가 진단에 도움이 됩니다.
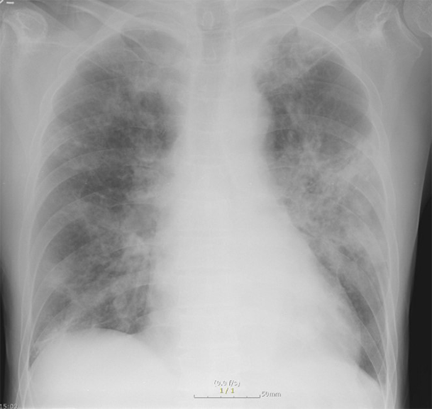
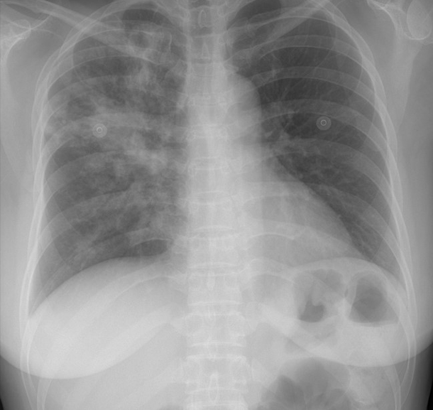
  • 폐결핵 비결핵성항상균 폐질환
    img img
    img img

    그림: 폐결핵과 비결핵성항산균 폐질환의 흉부엑스레이 사진과 흉부전산화단층활영 사진

    비결핵성항산균 폐질환은 폐결핵과 비교하였을 때 서서히 진행하거나 변하지 않을 수 있으며, 만성적인 경과를 보이고, 진단이 늦어지는 경향이 있습니다. 두 질환은 모두 환자의 객담을 통한 객담 항산균 도말검사, 객담 항산균 배양 검사를 진행합니다. 객담 배양이 되기 전에는 객담 도말 검사 양성 소견만으로는 결핵균과 비결핵성항산균이 구별이 되지 않으며, 구별을 위해서 결핵균 핵산증폭검사(TB-PCR) 검사를 시행합니다.
    항산균 배양 검사는 고체 배지와 액체 배지를 모두 사용하며, 배양 균주를 통해 원인 균이 결핵균인지 비결핵성항산균인지 구분하게 됩니다.
    결핵 균주는 Mycobacterium tuberculosis의 경우로, 그리고 비결핵성항산균 폐질환의 경우는 Mycobacterium Avium Complex (MAC, M. avium/M. intracellulare), Mycobacterium abscessus complex, 그리고 Mycobacterium kansasii 등으로 세부 원인 균주가 확인이 됩니다.
    배양된 균주를 통해서 결핵균과 비결핵성항산균 모두 약제 감수성 검사를 시행하여 원인 균주에 효과적인 감수성 약제를 찾아서 이를 근거로 임상적 치료를 하게 됩니다. 활동성 결핵은, 결핵 약제 내성 결과에 따라서 결핵 약제 모두에 감수성을 보이는 감수성 결핵(drug sensitive tuberculosis), 리팜핀과 이소니아지드에 모두 내성을 보이는 다제 내성 결핵(Multidrug-resistant tuberculosis, MDR-TB), 다제 내성 결핵이면서 한 가지 이상의 퀴놀론계 약제(레보플록사신 또는 목시플록사신)에 내성을 보이는 광범위 약제 내성 전단계 결핵(pre-extensively drug-resistant tuberculosis, pre-XDR-TB), 그리고 광범위 약제 내성 전단계 결핵이면서 A군 약제(베다퀼린, 델라마니드, 리네졸리드) 중 한 가지 이상에 내성을 보이는 광범위 약제 내성 결핵(extensively drug-resistant tuberculosis, XDR-TB)으로 분류할 수 있습니다.
  • 04

    결핵과 비결핵성항산균 폐질환의 치료는 무엇인가요?

    활동성 결핵의 치료는 감수성 결핵의 경우, 이소니아지드, 리팜핀, 에탐부톨, 피라진아미드라는 기본 약제를 사용하여 보통 6개월 동안 치료를 하게 되며, 내성 결핵의 경우는 약제 감수성 결과에 근거하여 치료 약제를 선택하여 치료를 하게 됩니다.
    반면 잠복 결핵의 치료는 이소니아지드, 리팜핀 약제로 3~4개월의 치료를 합니다.
    비결핵성항산균 폐질환의 경우는 진단 자체가 치료를 의미하지 않으며, 흉부 X선이나 흉부 CT상에서 공동이 되는 등 병변이 심하고, 증상이 심한 경우에는 동정된 균주에 근거하여 항생제 치료를 시작할 수 있습니다.
    보통 항생제 치료 기간은 3~4가지의 여러 항생제로 치료하고, 객담 배양 음전이 된 후 최소 12개월 유지 치료를 하게 되는데, 보통 18개월~24개월 정도 치료를 받게 되며, 치료 도중 약제 부작용이 발생할 수 있어서 치료 중 면밀한 추적 관찰이 필요합니다. 한편 이득과 손실을 고려하여 치료를 시작하지 않은 경우는 추적 관찰을 하며, 증상이나 폐 손상이 심한 환자는 치료 초기부터 주사제를 포함한 병합 항생제 치료와 폐 절제술 등의 수술도 고려할 수 있습니다.