호흡기 질환

호흡기 질환 관련 안내 입니다.

·
호흡기클리닉
·
호흡기질환
  • 만성기침
  • 알레르기천식, 만성폐쇄성 폐질환
  • 기관지확장증
  • 결핵, 비결핵항산균폐질환
  • 폐렴 및 감염성 폐질환(코로나, 인플루엔자, 신종전염병)
  • 간질성 폐질환
Interstitial Lung Disease
간질성 폐질환
  • 01

    간질성 폐질환 (Interstitial Lung Disease, ILD)이란 무엇인가요?

    폐의 폐포를 둘러싸고 있는 폐포의 벽에는 폐포 상피 세포, 내피 세포, 혈관, 림프관, 기저막 등 다양한 조직이 있는데, 이를 간질(Interstitium)이라고 부르고, 이 공간에 질환이 초래된 경우를 통칭하여 ILD라 하며, 이 질환은 폐포 벽, 모세혈관, 폐포 내 공간까지 침범합니다.
    이 질환은 광범위 사이질 폐질환(Diffuse Parenchymal Lung Disease), 미만성 간질성 폐질환(Diffuse Interstitial Lung Disease)라고도 불렸습니다. 그래서 간질성 폐질환(ILD)은 폐 간질부(interstitial compartment)의 증식과 함께 다양한 염증 세포들의 침윤, 그리고 때로는 섬유화(fibrosis)가 동반되는 질환을 통틀어서 말합니다. 간질성 폐질환(ILD)의 진단을 위해서 흉부전산화단층촬영(CT) 후 임상 소견, 그리고 폐 조직검사 등을 종합한 접근이 필요합니다.
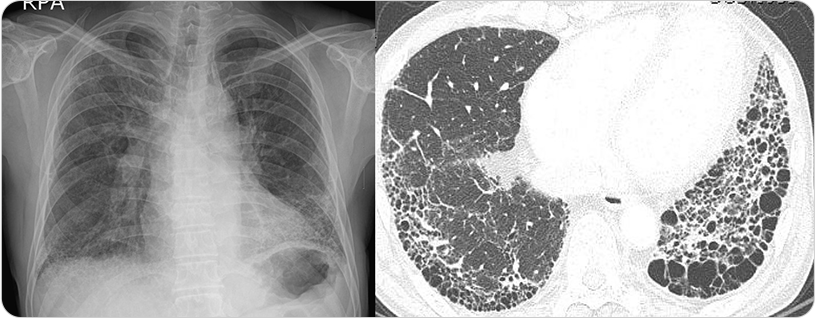
    img

    그림 : 간질성 폐질환 중 폐섬유화증을 보이는 흉부X선과 흉부전산화단층촬영(CT) 결과

  • 02

    간질성 폐질환(ILD)의 세부 종류에는 어떤 질환들이 있는지요?

    간질성 폐질환(ILD)은 크게 다음과 같이 분류할 수 있습니다.
    img
  • 03

    간질성 폐질환(ILD)의 증상, 그리고 진단 및 치료는 어떻게 되는지요?

    서서히 진행되는 호흡 곤란과 기침이 가장 특징적인 증상입니다. 진단은 문진을 통해 직업과 주위 환경, 복용한 약, 다른 질환의 유무 등을 확인하고, 이학적 검사 및 CT, 폐기능검사, 혈액검사 등을 시행하고, 경우에 따라서 폐 조직검사가 필요한 경우가 있습니다. 치료는 질환에 따라 치료 약제가 다른데 면역억제제를 사용하기도 하고, 항섬유성 약제를 사용하는 경우도 있으며, 각 질환에 따라 질병의 예후가 다릅니다. 질병의 악화를 막기 위해서 감염을 조심하고, 금연을 해야 하며, 원인 약제, 황사나 미세 먼지 등 유해 환경을 피해야 합니다.
  • 04

    간질성 폐이상(Interstitial Lung Abnormality, ILA)은 무엇인가요?

    간질성 폐이상(ILA)은 폐의 어느 부위이든(상부, 중부, 하부), 영상 촬영 시 중력으로 인한 폐포의 변화가 아닌,
    비중력성 이상 소견 (non-dependent abnormalities)의 비율이 5% 이상을 차지하는 경우로 이전에 간질성 폐질환(ILD)을 확진받거나,
    이를 의심한 적이 없는 대상자에서 시행한 흉부전산화단층촬영(CT)에서 우연히 확인되는 영상학적 이상을 이르는 용어입니다.